Phos-tag™ 凝胶荧光染料,是一种可在生理pH范围内,对凝胶中的磷酸化蛋白进行染色的荧光染料。进行了SDS-PAGE,用本产品处理聚丙烯酰胺凝胶,可以对磷酸化蛋白进行特异性染色。

本系列有波长不同的Yellow(黄)、Magenta(品红)、Cyan(蓝绿)、Aqua(浅绿)四种颜色。每管规格为0.2 mg,可对染色约20个迷你凝胶。

 

注意:

使用Phos-tag™凝胶荧光染料,需要用到Mixedreagents for Phos-tag™ Common Solution 5×(产品编号:383-15231)。请一同购买。

◆特点

● 高灵敏度

● 在生理pH下即可染色

● 选择性与pSer、 pTyr、 pHis以及pAsp残基结合

● 无需放射性物质、化学物质标签、抗体

● 2小时内完成染色

 

◆产品对比

其他公司产品A

● 凝胶pH:2~4

● 5个步骤(固定、清洗、染色、脱色、清洗)

● 所需时间:≧5小时

● 溶液更换次数:11次

● 卵清蛋白检测上限:~5 ng/lane

 

Phos-tag™ Magenda

● 凝胶pH:7~8(不进行脱磷酸化)

● 3个步骤(固定、染色、清洗)

● 所需时间:≦2小时

● 溶液更换次数:4次

● 卵清蛋白检测上限:~1 ng/lane

 

◆应用实例①

磷酸化蛋白与非磷酸化蛋白的染色Phos-tag™ Aqua

Lane.No.()内为磷酸基团数目

1. Marker

2.α-酪蛋白(9P)

3.经ALP处理的α-酪蛋白

4.β-酪蛋白(5P)

5.经ALP处理的β-酪蛋白

6.卵清蛋白(2P)

7.经ALP处理的卵清蛋白

8.胃蛋白酶(1P)

9.经ALP处理的胃蛋白酶

10.β-半乳糖苷酶

11.牛血清白蛋白

12.碳酸酐酶

 

Phos-tag™ Aqua染料选择性:用Phos-tag™ Aqua对10%(w/v)的PAGE胶进行染色,其中分别含有四组完整的以及经ALP(碱性磷酸酶)处理的磷酸蛋白(α-酪蛋白,β-酪蛋白,卵清蛋白和胃蛋白酶各1 μg)(左),然后使用考马斯亮蓝CBB G-250染色(右)。

成功特异性地检测出SDS-PAGE后的磷酸化蛋白。

数据提供:广岛大学研究生院 医学系科学研究科 医药分子机能科学研究室 木下惠美子老师、木下英司老师、小池透老师

 

◆应用实例②

使用Phos-tag™ 荧光凝胶染料的组氨酸、天门冬氨酸的磷酸化分析

细菌通过将信息从组氨酸激酶EnvZ传递到应答调控子OmpR来调节基因的表达。分别分析有自磷酸化能力的EnvZ激酶和被EnvZ催化的OmpR中组氨酸和天门冬氨酸的磷酸化。

可以确认Phos-tag™ Magenta和Phos-tag™ SDS-PAGE 这两种试剂中的His和Asp的磷酸化随激酶的处理时间经过不断增强。尤其是使用Phos-tag™ Magenta时,可以仅检测出His磷酸化或Asp磷酸化。

数据提供:广岛大学研究生院 医学系科学研究科 医药分子机能科学研究室 木下惠美子老师、木下英司老师、小池透老师

 

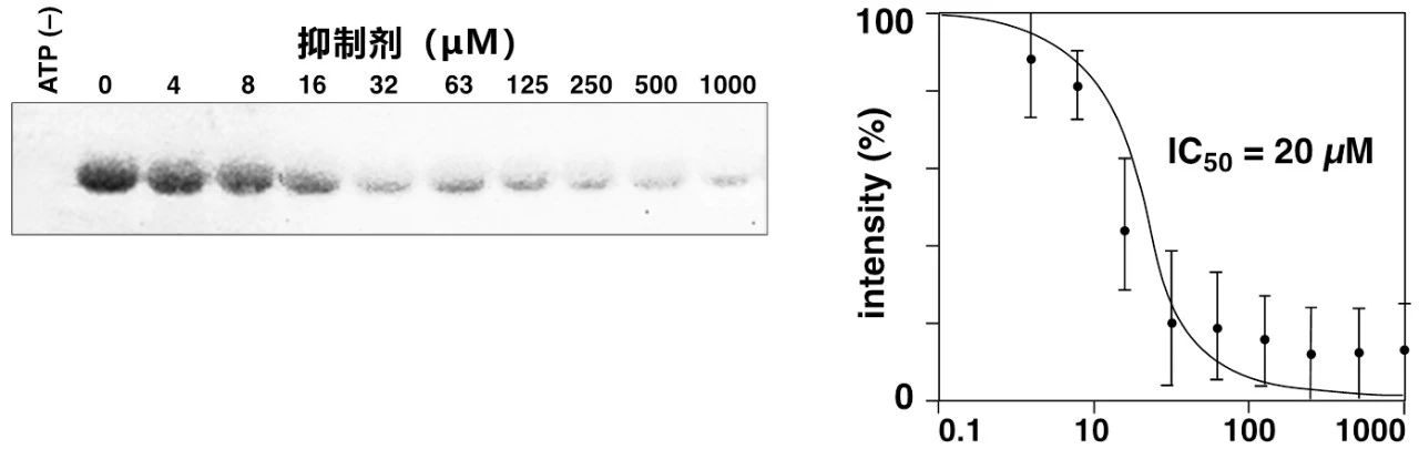
◆应用实例③

用于筛选组氨酸激酶抑制剂(新型抗生素)

使用Phos-tag™荧光凝胶染料,筛选组氨酸激酶抑制剂。

证实磷酸化依赖组氨酸激酶抑制剂浓度被抑制。

数据提供:广岛大学研究生院 医学系科学研究科 医药分子机能科学研究室 木下惠美子老师、木下英司老师、小池透老师

 

参考文献

“Quantitativemonitoring of His and Asp phosphorylation in a bacterial signaling system byusing Phos-tag Magenta/Cyan fluorescent dyes”, Emiko Kinoshita-Kikuta, HiroshiKusamoto, Syogo Ono, Keisuke Akayama, Yoko Eguchi, Masayuki Igarashi, ToshihideOkajima, Ryutaro Utsumi, Eiji Kinoshita, Tohru Koike, Electrophoresis, 2019

 

◆使用方法

※调整平衡及清洗溶液以及染色溶液必须使用Mixed reagents for Phos-tag™ Common Solution 5× (产品编号:383-15231)。

 

◆激发波长/荧光波长

 

◆产品列表

产品编号 产品名称 规格
380-15241 Phos-tagTM 黄色荧光染料 0.2mg
386-15221 Phos-tagTM 品红荧光染料 0.2mg
382-15201 Phos-tagTM 浅绿荧光染料 0.2mg
389-15211 Phos-tagTM 蓝绿荧光染料 0.2mg
383-15231 Phos-tagTM 5×染色通用混合溶液 1 EA

 

◆相关产品

Phos-tag™ Acrylamide

产品编号 产品名称 规格
304-93521 Phos-tag™ Acrylamide AAL-107 Phos-tag™ 丙烯酰胺 10mg
300-93523 2mg
304-93526 Phos-tag™ Acrylamide AAL-107 5mM Aqueous SolutionPhos-tag™ 丙烯酰胺5mM水溶液 0.3mL

 

SuperSep™ Phos-tag™

用于Bio-Rad伯乐电泳仪

产品编号 产品名称 规格
198-17981

SuperSep™ Phos-tag™ (50μmol/l), 7.5%, 17well, 83×100×3.9mm 

Phos-tag™ 预制胶50μmol/l,7.5%,17孔,BioRad型

5 块
195-17991

SuperSep™ Phos-tag™ (50μmol/l), 12.5%, 17well, 83×100×3.9mm 

Phos-tag™ 预制胶50μmol/l,12.5%,17孔,BioRad型

5 块

 

用于Life Technologies伯乐电泳仪

产品编号 产品名称 规格
192-18001

SuperSep™ Phos-tag™ (50μmol/l), 7.5%, 17well, 100×100×6.6mm 

Phos-tag™ 预制胶50μmol/l,7.5%,17孔,Life Technologies型

5 块
199-18011

SuperSep™ Phos-tag™ (50μmol/l), 12.5%, 17well, 100×100×6.6mm 

Phos-tag™ 预制胶50μmol/l,12.5%,17孔,Life Technologies型

5 块

 

Phos-tag™ Biotin

产品编号 产品名称 规格
301-93531

Phos-tag™ Biotin BTL-104

Phos-tag™ 生物素

10 mg
308-97201

Phos-tag™ Biotin BTL-111 1mM Aqueous Solution

Phos-tag™ 生物素1mM水溶液

0.1 ml

 

Phos-tag™ Agarose

产品编号 产品名称 规格

387-07321-8P

Phos-tag™ Tip

Phos-tag™ 琼脂糖吸管

8 pcs

387-07321

8 pcs ×10

 

Phos-tag™ Tip

产品编号 产品名称 规格
387-07321-8P

Phos-tag™ Tip

Phos-tag™ 琼脂糖吸管

8 pcs
387-07321 8 pcs ×10

 

Phos-tag™ Mass Analytical Kit

产品编号 产品名称 规格

305-93551

Phos-tag™ Mass Analytical Kit

Phos-tag™ 质谱分析试剂盒

1 set

※ 仅供实验使用,不可用于临床诊断。


Search Articles