◆抗磷酸化α-突触核蛋白,单克隆抗体(pSyn#64)
在帕金森、路易体痴呆症(DLB)等神经细胞中特异性表达的路易小体,含有在丝氨酸129残基处特异性磷酸化的α-突触核蛋白1)2)
本产品不与正常的α-突触核蛋白反应,只识别累积的磷酸化α-突触核蛋白,因此可用于路易小体相关的病理研究。
产品特性
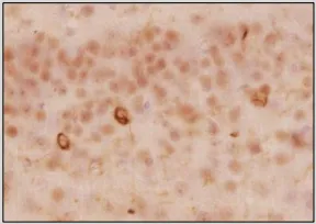
使用示例(免疫组织染色)
上图为使用本产品对路易体痴呆症的大脑切片进行免疫组织染色的图像。发生病变的路易小体被特异性染色。
数据提供:东京大学研究生院医学系研究科 岩坪老师
◆生物素标记抗磷酸化α-突触核蛋白抗体(pSyn#64)
本产品为上述抗磷酸化α-突触核蛋白,单克隆抗体(pSyn#64)(产品编号:015-25191)进行生物素标记后的抗体。
特点
● 已进行标记,无需使用二抗
● 低背景
● 已完成免疫染色的使用评估
产品特性
使用示例(免疫组织染色)
抗磷酸化α-突触核蛋白,单克隆抗体(pSyn#64),生物素结合
抗磷酸化α-突触核蛋白,单克隆抗体(pSyn#64)(产品编号:015-25191)+生物素标记二抗
实验条件
样品:将凝集的α-突触核蛋白脑内注射到6个月大的野生型小鼠纹状体
切片:50 µm厚 振动切片
染色方法:ABC法+DAB染色
抗体浓度:1/1,000
结果显示,与使用二抗时相比,背景被抑制且能观察到清晰的染色。
数据提供:东京大学研究生院医学系研究科 桑原老师、岩坪老师
◆产品列表
※ 仅供实验研究用,不可用于临床诊断。

Search Articles