特应性皮炎模型服务和药理学测试
动物:
小鼠(NC/Nga)
方法:
1.在D粉尘螨具有高含量螨变应原的NC / Nga小鼠中通过Biostir® AD诱导特应性皮炎样损伤。
2. 经皮致敏/免疫小鼠。
3. 高概率获得特应性皮炎模型。
4. 评估测试物质对疾病模型的效力。
5. 评价项目:症状评分,IgE,组织病理学,搔抓行为等。
特征
●是特应性皮炎相关的房尘螨提取物成分之一
●Biostir® AD能够在NC/Nga小鼠诱导特应性皮炎样皮肤损伤
●在该模型中观察到他克莫司软膏和皮质类固醇软膏的功效
●Biostir® AD能高概率在NC/Nga小鼠引起皮炎
●Biostir® AD节省时间和精力,与重复应用螨过敏原悬浮液相比较直到观察到皮炎发病
●现今还没有类似概念的产品
操作流程
1、用4%十二烷基硫酸钠(SDS)破坏屏障后,每周两次在剃毛的背部皮肤和两耳廓部涂抹100 mg的AD。
2、重复此步骤3周。共涂抹6次完成。
特征
|
动物 |
雌性NC / Nga小鼠 |
|
特应性皮炎样皮肤损伤的临床方面 |
在皮肤上观察到搔抓行为,红斑,丘疹,鳞屑,疮痂和苔藓病变 |
|
组织学评价 |
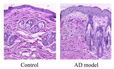
●损伤皮肤表现在真皮和表皮显著增厚,角化过度和角化不全。 |
|
血清总IgE |
显著升高 |
7周龄无毛雄性小鼠用Biostir AD处理诱发皮炎模型

形态学表现
苏木精和曙红对皮肤组织(5 μm)染色(1:500)

产品列表

